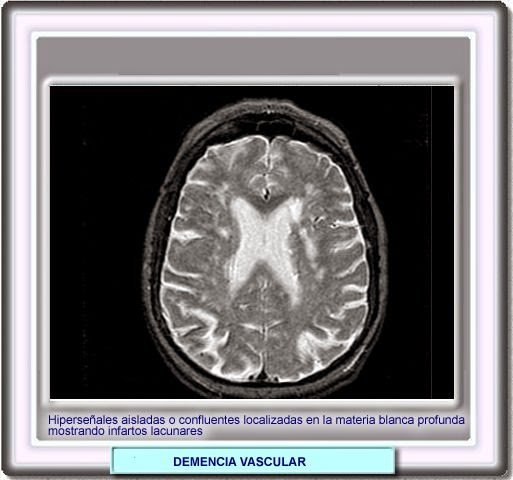
La enfermedad de Binswanger, también llamada encefalopatía subcortical o demencia vascular subcortical, es un tipo de demencia poco habitual que se caracteriza por la afectación de los pequeños vasos sanguíneos situados en la región subcortical del cerebro (demencia vascular)[1] y la aparición en las pruebas de imagen como la resonancia magnética nuclear de rarefacción de la sustancia blanca (leucoaraiosis) y múltiples infartos lacunares subcorticales.[2][3] Los primeros síntomas suelen aparecer entre los 54 y 64 años y consisten generalmente en deterioro cognitivo, más adelante es habitual que se produzca accidente cerebrovascular.[4][5]
Historia
La primera descripción de la enfermedad fue realizada por Otto Binswanger en 1894.[6] Alois Alzheimer usó por primera vez la denominación "enfermedad de Binswanger" en 1902.[7] J. Olszewski realizó importantes investigaciones sobre este mal a partir de 1962.[4][8]
Tratamiento
No existe tratamiento curativo de la afección, las médidas terapéuticas consisten en intentar evitar la progresión del mal con conductas preventivas, entre ellas controlar los factores de riesgo como hipertensión arterial, diabetes y tabaquismo.[5]
Referencias



